Tình trạng nổi mụn ở môi bé vùng kín khiến chị em phụ nữ lo lắng, bất an bởi đây là vị trí “nhạy cảm” và quan trọng trên cơ thể. Môi bé vùng kín nổi mụn bất thường đôi khi có thể chỉ do dị ứng hay rối loạn nội tiết tố, nhưng ngoài ra hiện tượng này còn cảnh báo nhiều vấn đề bệnh lý liên quan đến đường sinh dục cần phải được phát hiện và điều trị đúng phương pháp. Vậy cụ thể nguyên nhân nổi mụn ở môi bé vùng kín do đâu, cách xử lý như thế nào để đảm bảo an toàn cũng như có kết quả tốt? Nội dung bài viết sau đây là những thông tin giải đáp và hình ảnh chia sẻ giúp bạn đọc cùng tham khảo.
Nguyên nhân và hình ảnh nổi mụn ở môi bé vùng kín
Bộ phận sinh dục không chỉ đảm nhiệm vai trò quan trọng mà còn là một trong những cơ quan nhạy cảm nhất trên cơ thể. Đặc biệt, vùng kín sẽ rất dễ gặp phải kích ứng, tổn thương hoặc bị viêm nhiễm nếu bạn không chú ý chăm sóc đúng cách cũng như trong việc vệ sinh cá nhân hàng ngày. Theo đó, một vấn đề bất thường khiến nhiều chị em lo lắng chính là hiện tượng nổi mụn ở môi bé vùng kín. Môi bé là 2 lớp da ở 2 bên, nằm khuất trong môi lớn và có chức năng giữ ẩm, bảo vệ âm đạo, niệu đạo khỏi các tác nhân có hại từ bên ngoài.
Tùy theo mỗi trường hợp mà nữ giới xuất hiện mụn thịt, mụn mủ, mụn nước… ở môi bé, có thể kèm theo đau, ngứa, thay đổi về màu sắc, tính chất khí hư hoặc không. Bác sĩ sản phụ khoa cho biết, có nhiều nguyên nhân nổi mụn ở môi bé vùng kín bao gồm cả những bệnh lý nguy hiểm. Cụ thể, chị em hãy cùng theo dõi những thông tin và hình ảnh như dưới đây:

1. Mụn ở môi bé vùng kín do rối loạn nội tiết tố
Sự thay đổi bất thường, hoạt động không ổn định của nội tiết tố do mệt mỏi, căng thẳng, chế độ sinh hoạt chưa khoa học… khiến chị em gặp phải nhiều vấn đề khác nhau. Trong số đó tình trạng môi bé vùng kín mọc mụn cũng có khả năng là một triệu chứng.
Khi quan sát hình ảnh nổi mụn ở môi bé vùng kín do nội tiết tố bị rối loạn, chúng ta thấy rằng kích thước các nốt mụn khá nhỏ, đầu mụn thường màu trắng và đặc điểm là không lây lan, không gây ngứa ngáy. Hiện tượng này không đáng ngại, có thể dần dần tự mất đi khi chị em điều chỉnh lối sống và nội tiết tố cơ thể trở lại bình thường.
2. Môi bé vùng kín gặp kích ứng, bị dị ứng với hóa chất
Như đã chia sẻ trước đó, vùng kín vốn dĩ là vị trí rất nhạy cảm và đặc biệt là ở những chị em có cơ địa dễ gặp phải kích ứng hay dị ứng thì càng phải lưu ý hơn. Nguyên nhân nổi mụn ở môi bé vùng kín kèm theo ngứa ngáy khó chịu còn phải kể đến việc sử dụng sữa tắm, xà phòng, nước hoa vùng kín, băng vệ sinh, bao cao su… có chứa thành phần không phù hợp. Bạn nên kiểm tra lại sản phẩm mà mình đang dùng để thay đổi khi cần thiết.
3. Hình ảnh nổi mụn ở môi bé vùng kín cảnh báo viêm nhiễm phụ khoa
Chị em vệ sinh “cô bé” không đúng cách, quan hệ thiếu an toàn, lạm dụng thuốc, rối loạn nội tiết tố… rất dễ bị vi khuẩn, nấm ngứa, ký sinh trùng có hại tấn công và gây ra viêm nhiễm ở vùng kín. Các bệnh viêm phụ khoa có nhiều triệu chứng nhận biết như: Dịch âm đạo tiết nhiều, màu vàng, xanh, trắng đục, nâu…, mùi hôi, lẫn mủ hoặc máu, nóng rát, ngứa ngáy vùng kín, quan hệ đau rát, ra máu mà không trong kỳ kinh. Ở mức độ viêm nhiễm nặng hơn sẽ gây nổi mụn ở môi lớn, môi bé, âm đạo, tiểu tiện nhiều lần, tiểu đau buốt.
4. Bệnh sùi mào gà gây nổi mụn môi bé
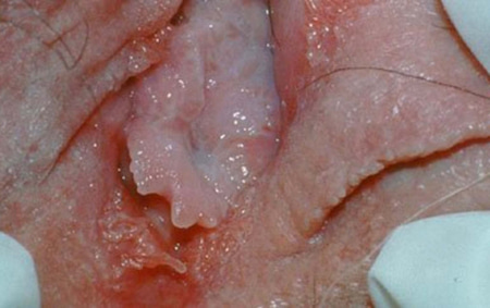
Sùi mào gà hình thành do virus HPV, con đường lây nhiễm bệnh chủ yếu (hơn 90% các trường hợp) là quan hệ tình dục bừa bãi, không dùng biện pháp an toàn. Hình ảnh nổi mụn ở môi bé vùng kín do sùi mào gà giai đoạn đầu là các nhú gai, mụn sùi nhỏ có màu hồng, hơi trắng hoặc gần giống với niêm mạc môi bé, mọc đơn lẻ, không bị ngứa hay đau đớn.
Tuy nhiên, một thời gian sau đó mụn sùi mào gà sẽ phát triển nhanh kích thước, liên kết thành từng cụm trông như mào gà, bề mặt ẩm ướt, mềm và dễ chảy dịch khi ấn vào. Ngoài vị trí môi bé, môi lớn thì u nhú sùi mào gà còn xuất hiện ở xung quanh vùng kín, bên trong âm đạo, lan xuống dưới hậu môn hoặc có trường hợp sùi mào gà ở cổ tử cung.
5. Môi bé nổi mụn nguyên nhân do mụn rộp sinh dục
Mụn rộp sinh dục cũng là một bệnh lây nhiễm từ đường tình dục không an toàn, gây ra bởi virus HSV. Chỉ sau khoảng một vài ngày virus tấn công cơ thể, xung quanh vùng kín bao gồm cả môi bé sẽ xuất hiện các nốt mụn rộp mọc riêng lẻ khiến người bệnh đau nhức. Nếu không điều trị thì càng về sau mụn rộp càng có kích thước lớn, mọc thành từng chùm gây sưng tấy, kèm theo triệu chứng nổi hạch, nhức cơ, bệnh nhân mệt mỏi và sốt.
Khi mụn rộp sinh dục bị vỡ ra sẽ chảy dịch với mùi hôi, tạo nên những vết loét vô cùng đau rát. Mặc dù chúng tự lành được nhưng nguy cơ tái phát là rất cao do virus vẫn còn tồn tại.
6. Mụn cóc sinh dục là nguyên nhân nổi mụn ở môi bé vùng kín
Tuy rằng có chung tác nhân gây bệnh là virus HPV, song mụn cóc sinh dục (mụn cóc hoa liễu) lại khác hoàn toàn với sùi mào gà, vì vậy chị em phải lưu ý tránh sự nhầm lẫn không đáng có khiến bệnh ngày càng nghiêm trọng. Giai đoạn đầu tiên, các nốt mụn cứng, thô ráp hình thành ở môi lớn, môi bé, âm đạo… với kích thước nhỏ, màu sắc thường là đỏ hồng. Sau một thời gian, bệnh sẽ diễn tiến nặng hơn khi mụn cóc phát triển từng mảng lớn hoặc xếp chồng lên nhau, lúc này các vị trí nhiễm bệnh sẽ sần sùi và nhìn trông giống với da cóc.
7. Viêm tuyến Bartholin gây nổi mụn ở môi nhỏ vùng kín
Nổi mụn ở môi bé vùng kín còn có khả năng là dấu hiệu của tình trạng viêm tuyến Bartholin. Tuyến này có vị trí nằm ở phía dưới da 2 bên âm đạo, chức năng tiết chất nhầy giúp làm sạch môi nhỏ đồng thời hỗ trợ bôi trơn cho hoạt động tình dục, phòng ngừa vi khuẩn xâm nhập. Nang tuyến Bartholin vốn có kích thước nhỏ nên khó nhận biết, tuy nhiên khi hiện tượng viêm nhiễm xảy ra thì bộ phận này sẽ trở nên sưng tấy, đau nhức. Các nang nhiễm trùng bị sưng, cứng giống như đang nổi mụn, bên trong có chứa khá nhiều dịch mủ.
8. Gai sinh dục nữ
Gai sinh dục thực chất không phải bệnh, chúng là tình trạng lành tính và hình thành do tế bào thượng bì ở vùng kín tăng sinh quá mức bình thường. Ở nữ giới, các gai sinh dục thường sẽ xuất hiện xung quanh môi bé, môi lớn, âm đạo hoặc phía dưới hậu môn, không gây ngứa, đau đớn hay chảy dịch, chảy máu kể cả khi chị em quan hệ. Gai sinh dục nữ không gây ra bởi virus hoặc vi khuẩn, nguyên nhân chưa được xác định rõ nhưng theo nhiều nghiên cứu cho rằng một yếu tố nguy cơ lớn chính là môi trường ẩm ướt ở vùng kín.
Nổi mụn ở môi bé vùng kín có nguy hiểm không?
Về câu hỏi này, các chuyên gia chia sẻ rằng đối với những trường hợp môi nhỏ vùng kín bị nổi mụn do rối loạn nội tiết tố hay kích ứng với thành phần không phù hợp trong xà phòng, băng vệ sinh… thì thường sẽ không quá đáng ngại. Nếu chị em điều chỉnh lại chế độ sinh hoạt, ăn uống của mình giúp nội tiết tố ổn định trở lại, hoặc thay đổi các sản phẩm phù hợp với vùng kín thì tình trạng nổi mụn cũng sớm được cải thiện, không ảnh hưởng sức khỏe.
Ngược lại, nếu như nguyên nhân nổi mụn ở môi bé vùng kín là do viêm nhiễm phụ khoa hoặc các bệnh về đường tình dục sẽ làm chị em phải đối mặt nhiều vấn đề gây tác động xấu. Bên cạnh những ảnh hưởng về tâm lý và sinh hoạt hàng ngày, nếu bệnh không được chữa trị kịp thời, đúng cách thì còn có thể dẫn đến các rủi ro, biến chứng như:
- Mụn ở vùng kín dù nhẹ hay nặng thì cũng gây ra cảm giác tự ti, khó chịu, đặc biệt là nếu đi kèm triệu chứng đau rát khi quan hệ, ra máu sau giao hợp… càng khiến chị em e ngại trước “chuyện ấy”, suy giảm ham muốn, không đạt được khoái cảm.
- Môi bé vùng kín bị nổi mụn do các bệnh xã hội còn tiềm ẩn nguy cơ lây truyền sang cho người bạn tình, nhất là khi quan hệ không dùng biện pháp phòng ngừa.
- Các bệnh lý ở đường sinh dục nếu kéo dài, chậm trễ điều trị có thể khiến viêm nhiễm ngày càng lan rộng, gây bệnh ở nhiều cơ quan lân cận như viêm vùng chậu, viêm tắc ống dẫn trứng, viêm buồng trứng… và hậu quả là bị vô sinh, hiếm muộn.

Cách khắc phục khi bị nổi mụn ở môi bé vùng kín
Như thông tin đã chia sẻ trong phần nội dung trước, chúng ta thấy được rằng mụn ở môi bé, môi lớn, âm đạo… có thể cảnh báo những vấn đề khó lường, các bệnh lý gây ảnh hưởng đến chức năng sinh lý và sinh sản của nữ giới. Bởi vậy, chị em không nên chủ quan mà hãy tìm đến bác sĩ chuyên khoa ở những địa chỉ khám chữa bệnh uy tín để tìm ra nguyên nhân, can thiệp điều trị bằng biện pháp hiệu quả và kịp thời.
Thông qua việc thăm khám, quan sát hình ảnh nổi mụn ở môi bé vùng kín và thực hiện các hạng mục cận lâm sàng để chẩn đoán, bác sĩ sẽ đưa ra nhận định chính xác tình trạng bệnh nhân và hướng dẫn phác đồ chữa bệnh bằng nội khoa hoặc ngoại khoa như sau:
- Điều trị nội khoa: Trường hợp môi bé vùng kín của chị em bị nổi mụn do dị ứng, kích ứng thông thường hoặc viêm nhiễm giai đoạn nhẹ, mới khởi phát thì bác sĩ thường ưu tiên sử dụng thuốc với từng loại, hướng dẫn sử dụng, liều dùng… cụ thể. Bệnh nhân cần tuân thủ đúng chỉ định, không được tùy tiện thay đổi để hạn chế tác dụng phụ cũng như hiện tượng nhờn thuốc khiến bệnh không trị được dứt điểm.
- Điều trị ngoại khoa: Nếu như chị em được chẩn đoán viêm nhiễm phụ khoa hoặc mắc bệnh lây qua đường tình dục đã ở mức độ nặng thì cần áp dụng những phương pháp điều trị ngoại khoa hiện đại giúp đem đến hiệu quả cao, đảm bảo sự an toàn và phòng ngừa tái phát tốt. Điển hình là một số phương pháp tiên tiến như Oxygen trị viêm nhiễm âm đạo, ALA - PDT chữa sùi mào gà và mụn cóc sinh dục, bệnh mụn rộp sinh dục điều trị bằng sóng ngắn điện dung…
Bên cạnh quá trình điều trị nổi mụn ở môi bé vùng kín theo phác đồ từ bác sĩ chuyên khoa, người bệnh cũng nên lưu ý tạo dựng thói quen sinh hoạt khoa học để sớm cải thiện như:
- Vệ sinh cơ thể sạch sẽ đặc biệt là khu vực vùng kín, nhẹ nhàng và đúng cách, không thụt rửa vào sâu bên trong quá mức, dung dịch vệ sinh nên chọn loại phù hợp.
- Tránh mặc quần lót bó sát, hãy ưu tiên đồ lót vừa vặn, thoáng khí và dễ thấm hút.
- Không quan hệ tình dục khi vẫn đang điều trị, bạn nên kiêng đến lúc bệnh khỏi hẳn.
- Uống nhiều nước, ăn nhiều củ quả, rau xanh, trái cây tươi, không uống rượu bia.
- Vận động cơ thể đều đặn, ngủ đủ giấc, duy trì tinh thần vui vẻ và thoải mái.
Nếu như chị em phụ nữ đang có dấu hiệu nổi mụn ở môi bé vùng kín và cần tìm địa chỉ khám phụ khoa uy tín tại Hà Nội thì có thể đến với Phòng khám đa khoa Hưng Thịnh. Cơ sở này đã có nền tảng hoạt động trong nhiều năm, được sự cấp phép từ Sở Y tế và góp mặt đội ngũ những y bác sĩ năng lực giỏi, kinh nghiệm dày dặn, tâm huyết với người bệnh.
Ngoài việc đầu tư cơ sở vật chất, thiết bị máy móc tiên tiến, phòng khám Hưng Thịnh còn triển khai những phương pháp điều trị bệnh hiện đại, hiệu quả tốt như ALA - PDT, Oxygen (O3), liệu pháp sóng ngắn điện dung… Tại phòng khám, các quy trình luôn đảm bảo nhanh gọn, bảo mật, riêng tư, giờ làm việc kéo dài từ 8h00 - 20h00 trong cả tuần tạo điều kiện thuận lợi cho người bệnh. Chi phí thăm khám và điều trị các bệnh lý công khai, mức giá phải chăng, đặc biệt khi bạn đăng ký khám trực tuyến qua hotline 0395456294 sẽ nhận được ưu đãi giảm 30% đối với chi phí làm tiểu phẫu và gói khám phụ khoa 9 hạng mục chỉ 280K cho 1 lượt.
Hình ảnh nổi mụn ở môi bé vùng kín


.webp)



Hy vọng rằng với những thông tin và hình ảnh nổi mụn ở môi bé vùng kín mà bài viết chia sẻ trên đây, chị em phụ nữ đã cùng tham khảo để có thêm nhiều kiến thức bổ ích cho mình. Để biết được chính xác nguyên nhân môi bé vùng kín nổi mụn do đâu cũng như cách khắc phục như thế nào hiệu quả, bạn nên đi khám sớm để nhận sự tư vấn cụ thể từ bác sĩ chuyên khoa. Trong trường hợp còn thắc mắc nào về hiện tượng nổi mụn bất thường tại vùng kín hoặc muốn đặt lịch khám phụ khoa, hãy liên hệ ngay số hotline 0395456294 để các chuyên gia của chúng tôi giải đáp cho bạn miễn phí, nhanh chóng.






